- This event has passed.
Creation Aesthetics Course with Jungo Endo

We have a guest coming from across the pond!
We are excited to announce our good friend Jungo Endo will be joining us in September for a 2 day hands on aesthetics course. After a 5 year UK hiatus, Jungo will be back to show off his extraordinary aesthetic skills. Keep the date clear… Scroll to the bottom to book!
An intro to the two-day course…
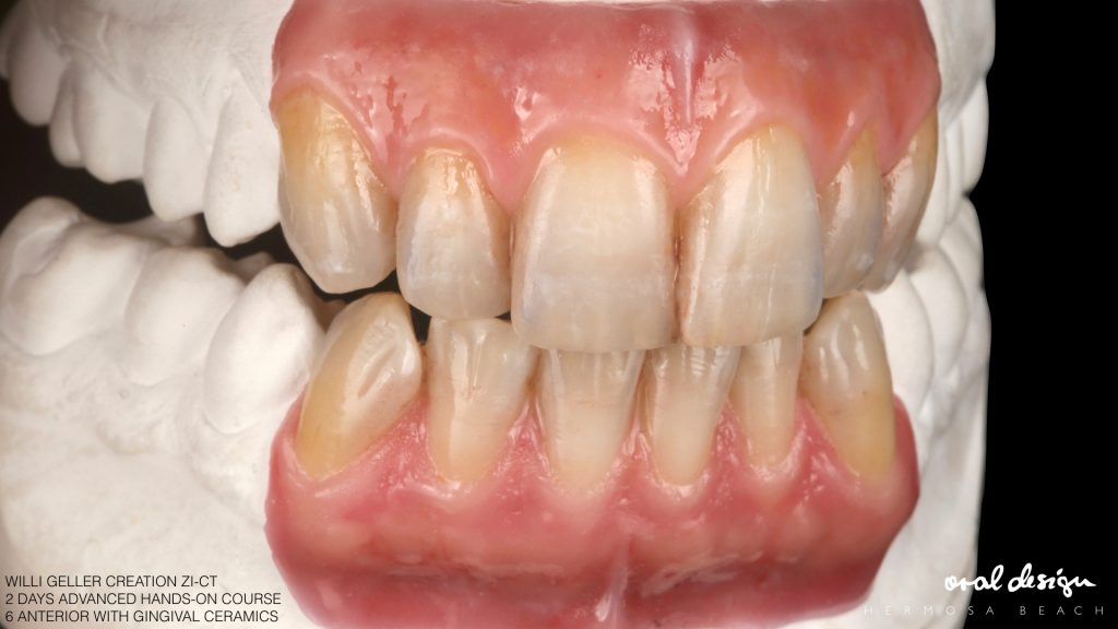
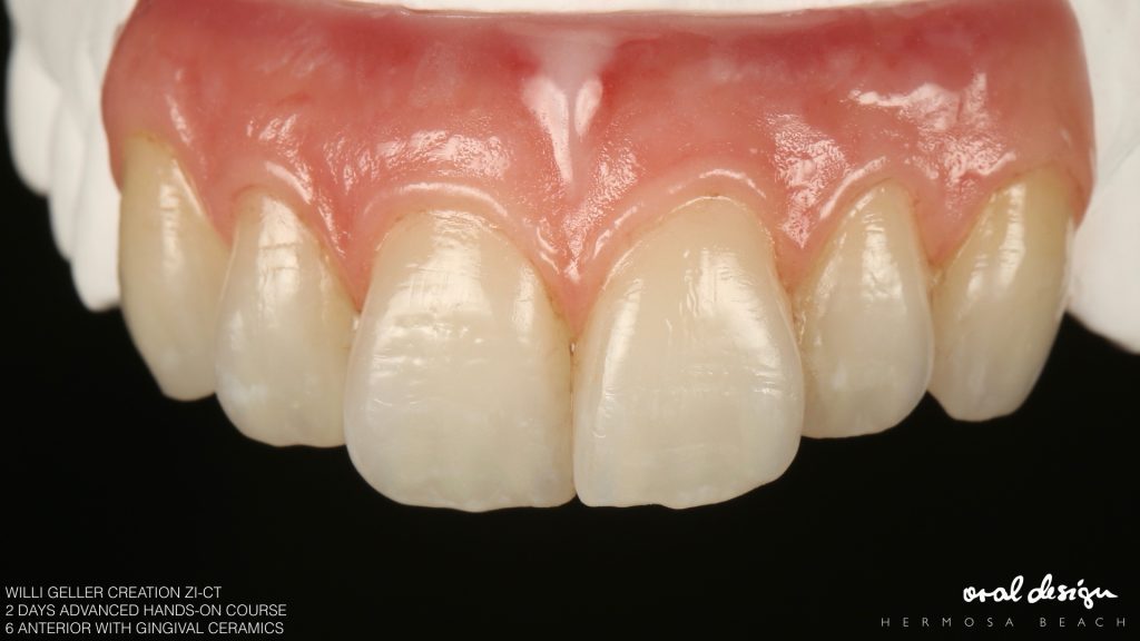
The excessive use of tooth-coloured ceramics in implant rehabilitations for partially and edentulous patients has traditionally led to aesthetic outcomes. However, using both tooth and soft-tissue coloured ceramics can create a more desirable aesthetic outcome that mirrors the pre-existing soft and hard tissues. Additionally, this type of treatment takes into account lip support and loss of biological tissues. With patients’ high aesthetic demands, it’s important to recreate periodontal tissues and lost teeth to give restorations a natural look with proper contours.
On this two-day hands-on course and lecture, Jungo Endo RDT will discuss the possible problems that may arise in highly aesthetic demanding cases and provide solutions. The course will also cover the “Oral Stratified Build-Up Technique” by Jungo Endo RDT, which is a ceramic application process that can achieve a naturally aesthetic outcome.
The main objectives of this course will be:
1. How to control the value and colour of gingival porcelain
2. How to create life-like restoration using Creation porcelain system.
3. Contouring, surface texture and surface lustre.
4. New shade taking methods of gingival porcelain.
5. How to create natural depth and value control of zirconia restoration when Zirconia frame with facial cut back only frame design.
Jungo’s backstory…
Jungo Endo, R.D.T., is an accomplished dental technician originally from Japan. He completed his studies at Yamagata Dental Technician School in 1995, followed by a post-graduate master ceramics course at Osaka Ceramic Training Centre from 1998 to 1999. While there, he trained under Mr. Shigeo Kataoka, a renowned author of Nature’s Morphology (Quintessence), and was awarded the prestigious Shigeo Kataoka Award in 1999. Jungo honed his skills in a private lab in LA for six years, catching the attention of Dr. John Beumer. He then joined the University of California Los Angeles (UCLA) as a master ceramist and co-instructor of UCLA Advanced Prosthodontics Laboratory Training Program in 2005.
Jungo specializes in creating highly aesthetic implant-supported restorations using ceramics, and is a renowned speaker on the subject both nationally and internationally. He established the Jungo Endo Dental Studio in Santa Monica, California in October 2012. In 2013, Mr. Willi Geller selected him as a member of Oral Design. Additionally, he is part of the prestigious BioEmulation group.
Keep an eye on our social media pages for updates – Facebook, Instagram, LinkedIn!
Head back to our events page here!




